標本の説明
標本8
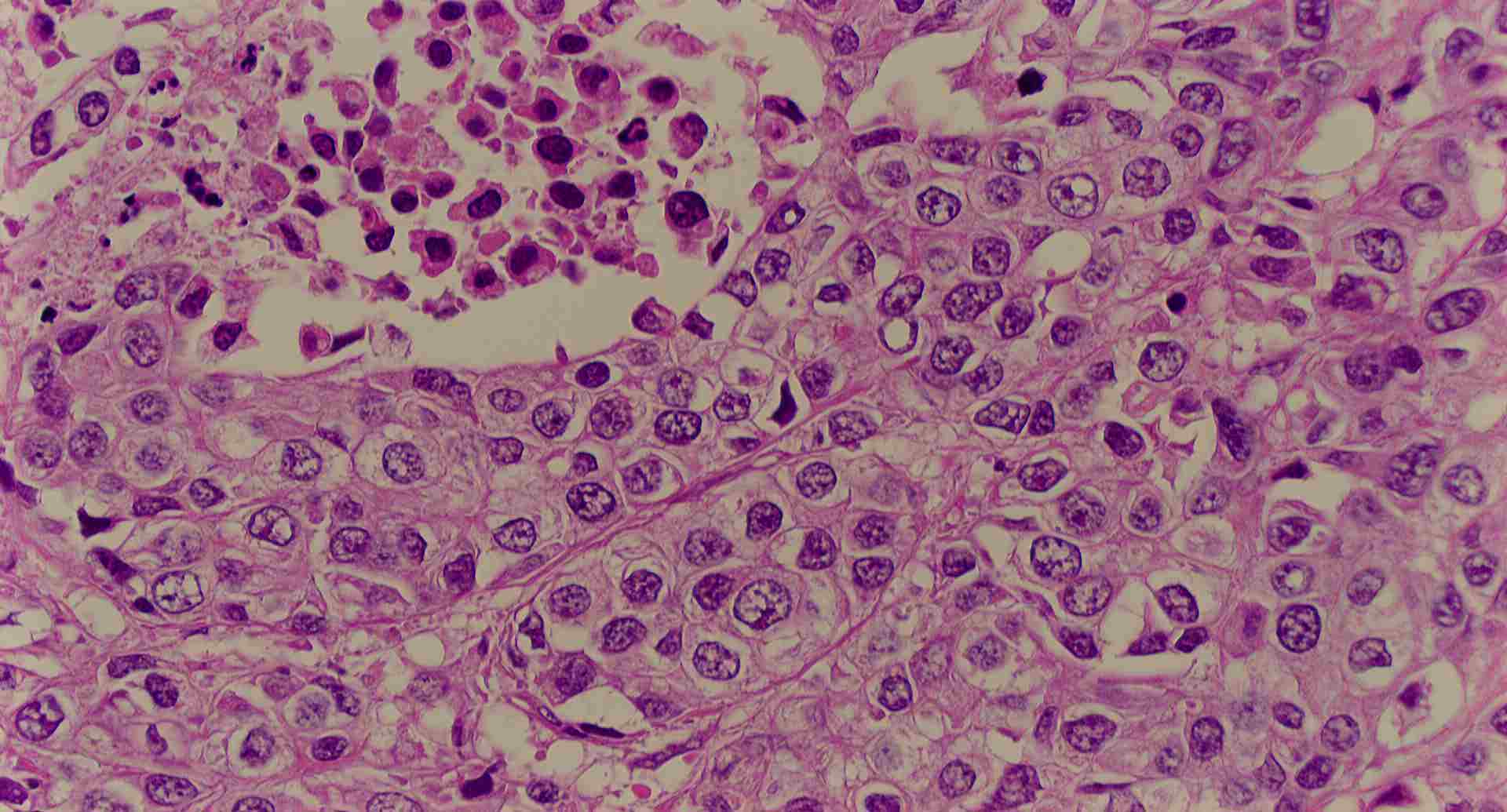
標本8(128KB)
標本8の説明
標本一覧に戻る